Tuberculous Meningitis Presenting with Stroke in an Immunocompetent Adolescent: A Case Report

Main Article Content

Rukhsar S Osman
Rahim Damji
Zainab Y Fidaali
Nahida Walli
Mariam Noorani

Abstract

Background: Tuberculous meningitis (TBM) is a severe infection of the central nervous system that has high mortality. The disease predominantly affects young children and those who are immuncompromised. Strokes have been reported in about one-third of children with tuberculous meningitis and are associated with poor clinical outcomes.
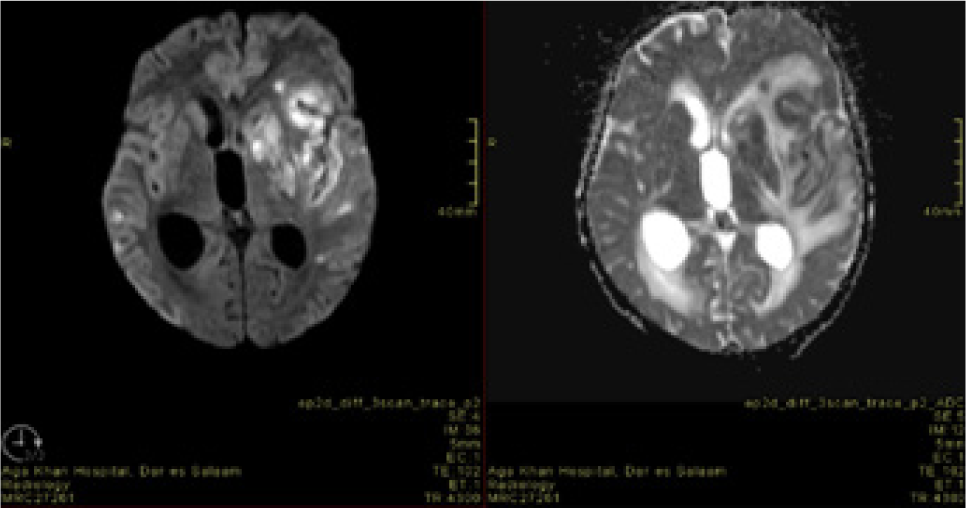
Case report: A previously healthy 14-year-old girl living in Dar es Salam, Tanzania presented with one month history of weight loss associated with weakness, loss of appetite, apathy; without respiratory symptoms. Anti-TB therapy was started, based on radiological findings of the chest which showed multiple patchy centrilobular nodules with linear branching pattern bilaterally, mediastinum lymph node enlargement with punctate calcification. She then became aphasic and developed right-sided hemiparesis. Brain imaging showed infarction, hydrocephalus and meningeal enhancement. Diagnosis of tuberculous meningitis (TBM) with left sided ischaemic stroke was made and dexamethasone was added to her regimen. Treatment and rehabilitation was continued for 12 months with minimal improvement.
Conclusion: Tuberculous meningitis can present with non-specific features and has grave outcomes. Stroke is an uncommon complication in older immunocompetent children and results in severe morbidity. A high index of suspicion is required in adolescents with neurological symptoms that can be confused with behavioural symptoms.

Article Details

Section
Case Studies