Imprint Cytology of Gastrointestinal Endoscopic Tissue Biopsies at Kenyatta National Hospital, East Africa, Kenya

Main Article Content

Nadia Kalinganire
Augustin Nzitakera
Edwin O. Walong
Lucy W. Muchiri

Abstract

Background: Endoscopic biopsy is the gold standard for the diagnosis of gastrointestinal pathology. However, imprint cytology of endoscopic biopsies which is a rapid and inexpensive method has gained less attention. This study intended to examine the performance of imprint cytology of endoscopic biopsies for rapid diagnosis of malignant gastrointestinal lesions at Kenyatta National Hospital, Kenya.
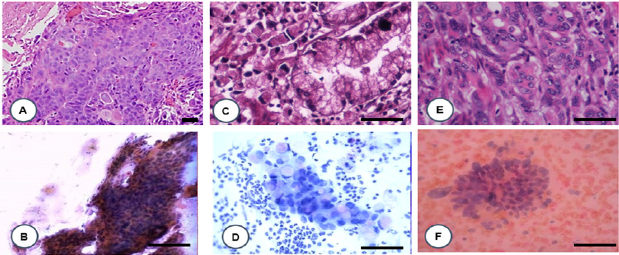
Methodology: A cross-sectional descriptive study was carried out on 124 consecutive patients in Endoscopy Unit at Kenyatta National Hospital, within a period of 3 months. Endoscopic biopsies were gently rolled on two microscopic slides to make imprint smears prior to formalin fixation. Both slides were air-dried and subsequently stained with Papanicolaou and Giemsa stains. Cytological findings were compared with those of histology to determine the diagnostic performance of imprint cytology in endoscopic specimens. Representative photomicrographs were used to describe and display morphological features.
Results: Imprint cytology revealed that 37 (29.83%) were positive for malignancy. For cases where both histology and imprint cytology were used as diagnostic methods for malignancy detection, the percentage of agreement between the two methods was 94.3% (Kappa =0.857, P<.001)
Conclusion: The performance of imprint cytology in this study, underscores the need to embrace the technique in our health care settings as it can provide results in a short period of time for proper patients’ management.

Article Details

Section
Original Articles