Concomitant Carcinoma of the Gallbladder and Incidental Gallstones, and Concurrent Gallbladder Cyst: A Case Report

Main Article Content

Alex Mremi
Mujaheed Suleman
Adnan Sadiq
Jay Lodhia

Abstract

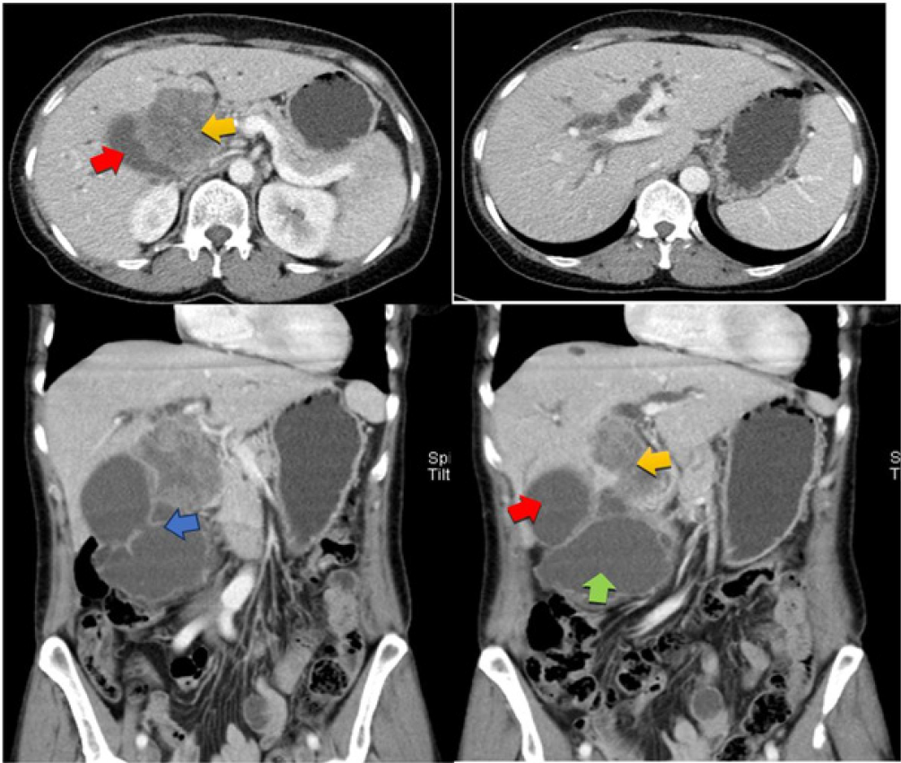
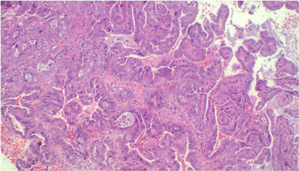
Introduction: Gallbladder carcinoma is a malignant epithelial neoplasm of the gallbladder. The tumor is clinically aggressive, with an overall 5-year survival rate of < 10%. Cholelithiasis is a known and established risk factor. Up to 50% of gallbladder tumors are detected incidentally in routine cholecystectomy specimens due to the absence of gross abnormalities. Gallbladder carcinoma has several unusual presentations, one of which is an incidental pseudocyst with cholelithiasis and perforation. This unusual occurrence makes the index case unique.
Case presentation: We report a case of gallbladder cancer diagnosed by an emergency cholecystectomy, performed for acute cholecystitis caused by a pseudocyst. The patient underwent chemotherapy, and currently, 12 months have passed. The patient is doing well, without signs of recurrence or metastasis.
Conclusions: Systematic sampling of cystectomy specimens is therefore crucial to detecting incidental gallbladder adenocarcinomas.

Article Details

Section
Case Studies