Onesmo Augustino
Department of Obstetrics and Gynecology, Weill Bugando School of Medicine, Catholic University of Health and Allied Sciences, Mwanza, Tanzania
Dismas Matovelo
Department of Obstetrics and Gynecology, Weill Bugando School of Medicine, Catholic University of Health and Allied Sciences, Mwanza, Tanzania
Emmanuel Motega
dDepartment of Dentistry, Weill Bugando School of Medicine, Catholic University of Health and Allied Sciences, Mwanza, Tanzania
Godfrey Kaizilege
Department of Obstetrics and Gynecology, Weill Bugando School of Medicine, Catholic University of Health and Allied Sciences, Mwanza, Tanzania;
Richard Kiritta
Department of Obstetrics and Gynecology, Weill Bugando School of Medicine, Catholic University of Health and Allied Sciences, Mwanza, Tanzania
Feredina John
Department of Obstetrics and Gynecology, Weill Bugando School of Medicine, Catholic University of Health and Allied Sciences, Mwanza, Tanzania;
Mpeso Sijabaje
Department of Obstetrics and Gynecology, Weill Bugando School of Medicine, Catholic University of Health and Allied Sciences, Mwanza, Tanzania;
Bidiga Semtama
Department of Obstetrics and Gynecology, Weill Bugando School of Medicine, Catholic University of Health and Allied Sciences, Mwanza, Tanzania;
Kalokosilla Mhando
Department of Obstetrics and Gynecology, Weill Bugando School of Medicine, Catholic University of Health and Allied Sciences, Mwanza, Tanzania;
Ramiya Sande
Department of Obstetrics and Gynecology, Weill Bugando School of Medicine, Catholic University of Health and Allied Sciences, Mwanza, Tanzania;
Colman Mayomba
Department of Obstetrics and Gynecology, Weill Bugando School of Medicine, Catholic University of Health and Allied Sciences, Mwanza, Tanzania;
Lebnas Thomas
Department of Cardiothoracic Surgery, Weill Bugando School of Medicine, Catholic University of Health and Allied Sciences, Mwanza, Tanzania
Kesheni Lemi
Department of Neurosurgery, Weill Bugando School of Medicine, Catholic University of Health and Allied Sciences, Mwanza, Tanzania
James Lubuulwa
Department of Neurosurgery, Weill Bugando School of Medicine, Catholic University of Health and Allied Sciences, Mwanza, Tanzania;
Patrick Ngoya
Department of Radiology, Weill Bugando School of Medicine, Catholic University of Health and Allied Sciences, Mwanza, Tanzania
Edgar Ndaboine
Department of Radiology, Weill Bugando School of Medicine, Catholic University of Health and Allied Sciences, Mwanza, Tanzania
Edgar Ndaboine
Department of Obstetrics and Gynecology, Weill Bugando School of Medicine, Catholic University of Health and Allied Sciences, Mwanza, Tanzania;
Abstract
Introduction: Globally, dental diseases in pregnancy have been reported to affect between 10% and 50% of pregnant women. In Tanzania, periodontal disease burden among pregnant women stands at 14.2%. Despite improvements in antenatal care (ANC) attendance, oral cavity examination is not part of the ANC package in Tanzania. Consequently, oral health evaluation receives little attention from healthcare providers during routine ANC, exacerbating the risk of dental complications during pregnancy.
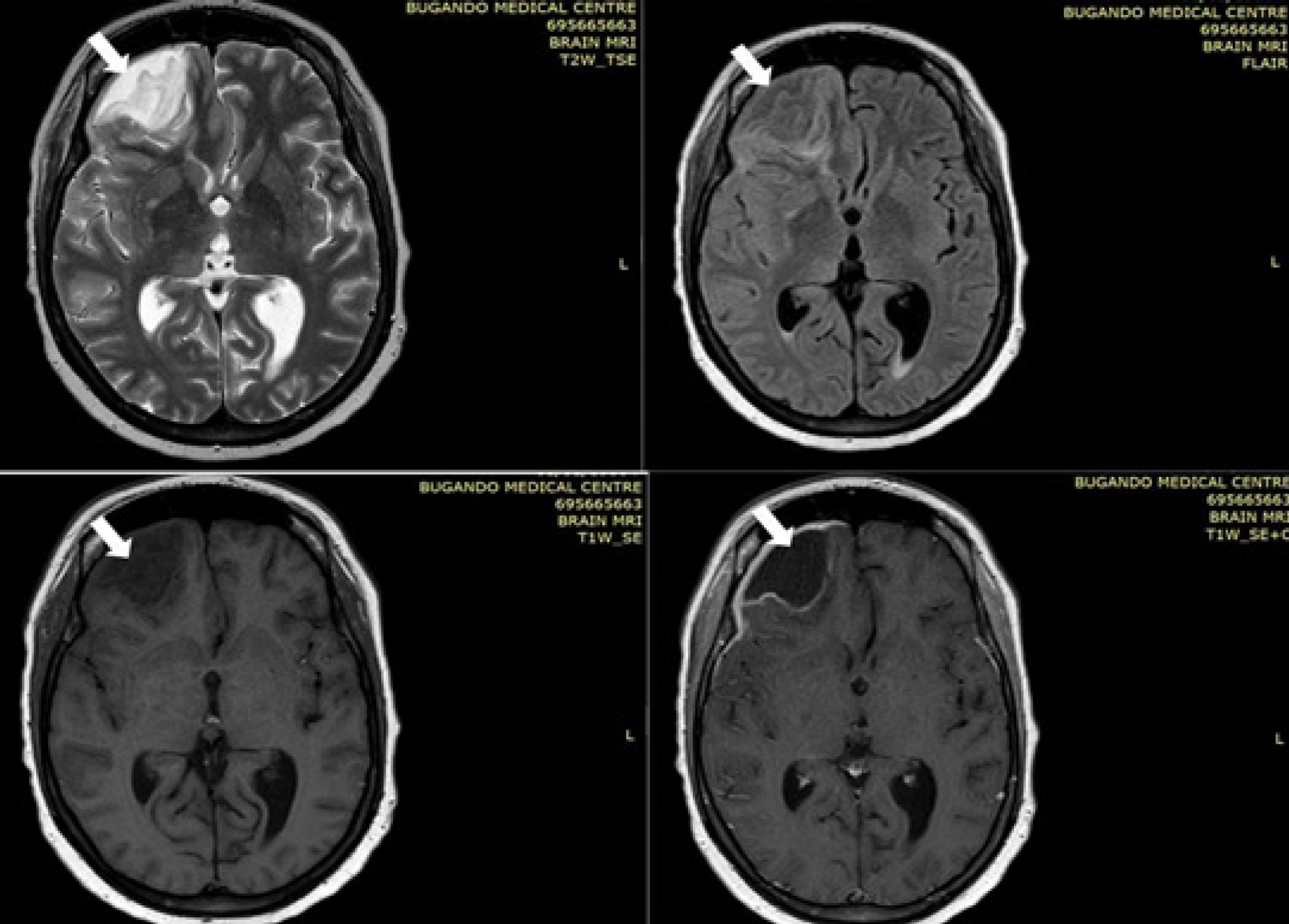
Case studies Presentation: This report presents four distinct cases of dental issues leading to severe complications, including brain abscess, empyema thoracis, Ludwig’s angina, and maternal sepsis. A multidisciplinary approach was employed in managing these cases, tailoring interventions based on individual patient needs. While three cases resulted in positive maternal outcomes, one case experienced poor outcomes due to Ludwig’s angina. Unfortunately, perinatal deaths occurred in three cases, attributed to preterm delivery and intrauterine foetal demise, with only one case yielding a favourable perinatal outcome.
Conclusion: The reported case studies underscore the critical importance of integrating oral cavity evaluation into routine ANC to facilitate timely diagnosis and appropriate management, thereby reducing associated morbidity and mortality risks.