Bacterial Cell Envelope Lysis and Hemotoxicity of Peptides Previously isolated From African Catfish, Clarias gariepinus

Main Article Content

Hedmon Okella
Clement Olusoji Ajayi
Hilda Ikiriza
Andrew Glory Mtewa
Bruhan Kaggwa
Jacqueline Aber
Charles Drago Kato
Patrick Ogwang Engeu

Abstract

Background: The skin mucus layer of fish is endowed with biologics including, Antimicrobial peptides (AMPs) that offer a first line of defence against pathogens. Such peptides can either inhibit bacterial growth or completely kill the bacteria and hence are regarded as a viable alternative to traditional antibiotics, in addressing the ever-increasing incidences of antimicrobial resistance. However, one of the major hurdles to AMPs use is their poor haemolytic profile. As a result, a thorough evaluation of prospective AMPs’ bacterial cell membrane disruption and hemolytic potentials in the early phases of drug discovery is critical. The current study presented cell membrane destruction as well as hemo-compatibility of antimicrobial peptides previously isolated from skin mucus of African catfish, Clarias gariepinus.
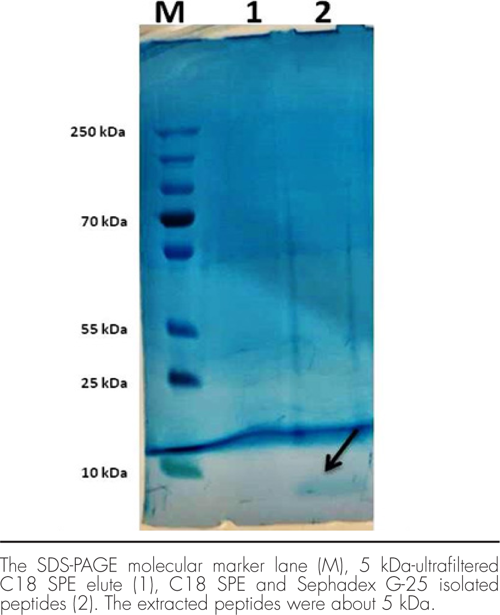
Methods: A previously isolated antimicrobial peptide in the skin mucus of African catfish, C. gariepinus were profiled using 15% Sodium Dodecyl Sulfate-Polyacrylamide Gel Electrophoresis (SDS-PAGE). The electrical conductivity and alkaline phosphatase assays were utilised to measure bacterial cell envelope lysis activity as a classical mode of action of the antimicrobial peptides. Afterwards, fresh Rabbit blood cells were then utilised for in vitro hemolytic assay.
Results: The peptides were found to be about 5 kDa molecular weight with, ability to damage the bacterial cell envelope causing significant leakage in periplasmic alkaline phosphatase enzyme and cytoplasmic electrolytes. Even at the highest peptide extract concentration of 100 μg/mL, no significant hemolysis was observed on the fresh rabbit blood cells [3.63%;P>.05], signifying their safety on normal mammalian cells.
Conclusion: The findings of this study pointed out that antimicrobial peptides in skin mucus of C. gariepinus are potentially safe source of antimicrobial drug leads; however, further studies are still required to search for possibly maximum dose that is safe to host cells but still effective against infecting bacteria.

Article Details

Section
Original Articles