Emergency Peripartum Hysterectomy: Indications, Histopathological Patterns and Intraoperative Maternal Complications at Mwanza, Tanzania

Main Article Content

Michael Haule
Fridolin Mujunia
Dismas Matovelo
Oscar Ottoman

Abstract

Background: This study explored the critical aspects of Emergency Peripartum Hysterectomy (EPH), a surgical procedure performed during childbirth to address life-threatening complications, such as excessive bleeding or severe uterine infections. Conducted in Mwanza, the research aimed to identify the indications for Emergency Peripartum Hysterectomy, examine histopathological patterns, and assess maternal complications during the procedure.
Methods: The study, conducted between May 2022 and May 2023, involved pregnant women beyond 28 weeks of gestation who required Emergency Peripartum Hysterectomy. Data collection included clinical and demographic information, intraoperative findings, and the preservation of samples in 10% Neutral Buffered Formalin (NBF) for morphological and pathological analysis. Analysis was carried out using STATA version 15.
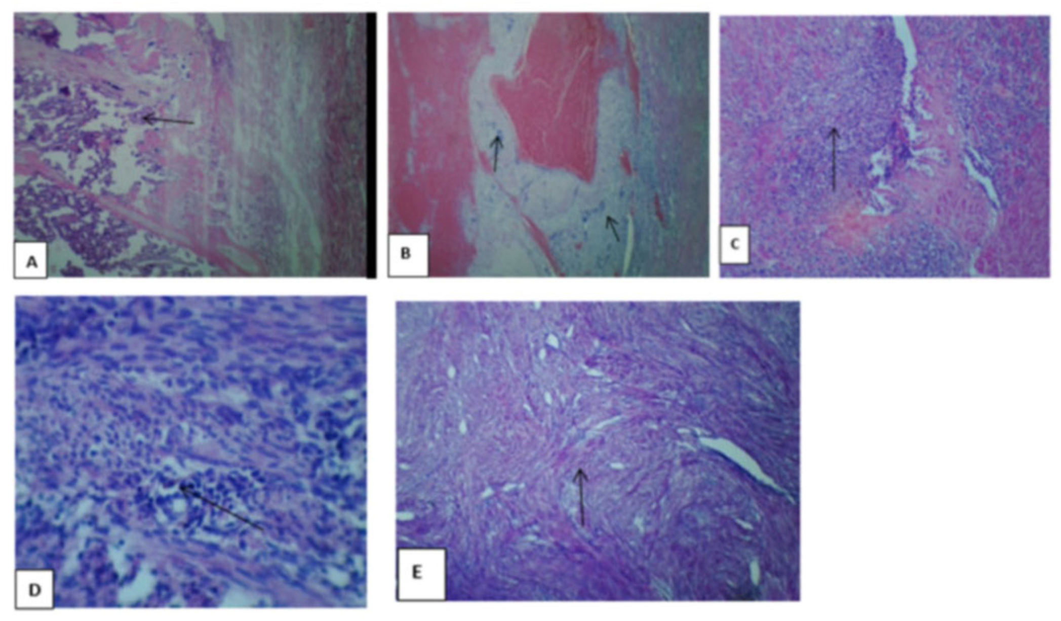
Results: The findings were derived from 66 pregnant women who underwent Emergency Peripartum Hysterectomy, with 42 from Bugando Medical Centre (BMC) and 24 from Sekou Toure Regional Referral Hospital (SRRH). The participants had a median age of 30 years. Notably, 41(62.1%) of the women were referred from lower-level facilities due to labor complications, and 40(60.6%) had their hysterectomies performed within 24 hours post-delivery. The most common clinical indications for Emergency Peripartum Hysterectomy were septic uterus 24(36.4%), ruptured uterus 17(25.8%), and uterine atony 15(22.7%). Histopathological patterns revealed plasmatic endometritis 16(24.0%), placenta accreta spectrum 15(23.0%), and suppurative inflammation 12(18.0%) as the most frequent findings. Intraoperative complications included excessive hemorrhage requiring blood transfusion for 34(51.5%) participants, cardiac and respiratory arrest 5(7.6%), and ureteric injuries 2(3.0%) participants.
Conclusion: This study found that septic uterine infections and morbidly adherent placenta conditions were the most common clinical and histological findings, respectively. The research also highlighted that lower-level health facilities in the region experienced a higher incidence of labor complications, increasing the likelihood of patients undergoing EPH. These findings provide valuable insights into the challenges and trends in EPH cases, contributing to improved maternal care and clinical decision-making.

Article Details

Section
Original Articles