Histomorphological Comparison of Initial and Residual Prostate Cancer Chips at Muhimbili National Hospital, Tanzania

Main Article Content

Edwin Liwa
Asteria Kimambo
Aron Orgenes
Edda Vuhahula

Abstract

Background: Residual prostate chips, after initial sampling provide an opportunity to examine potential differences in histomorphological features of prostate cancer. This study compared the histomorphological characteristics of prostate cancer in the partially sampled versus the residual prostate chips.
Methodology: This was a cross-sectional analytical laboratory-based study of archived slides of initial samples and residual tissue at the Muhimbili National Hospital’s Central Pathology Laboratory (MNH-CPL).
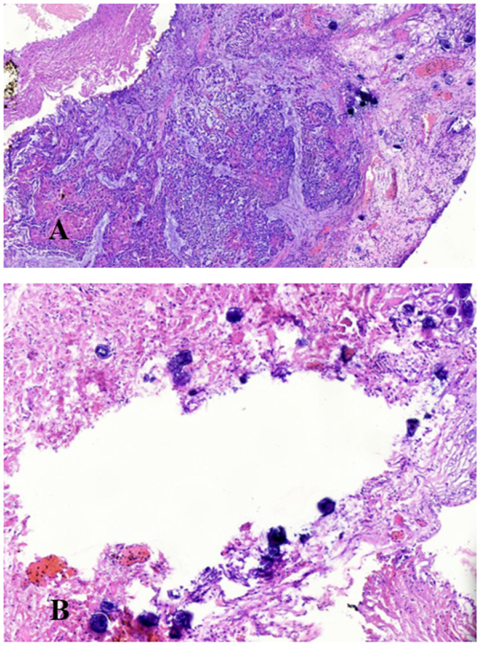
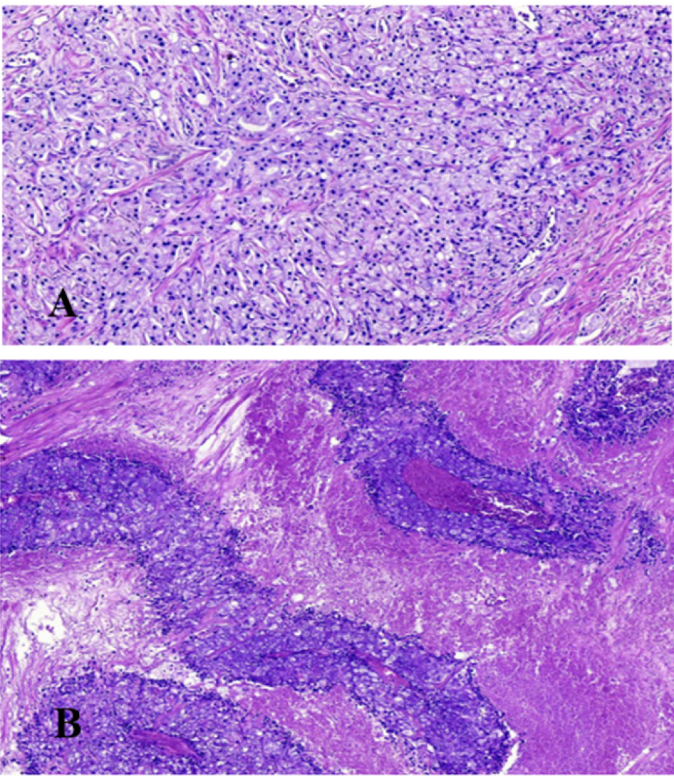
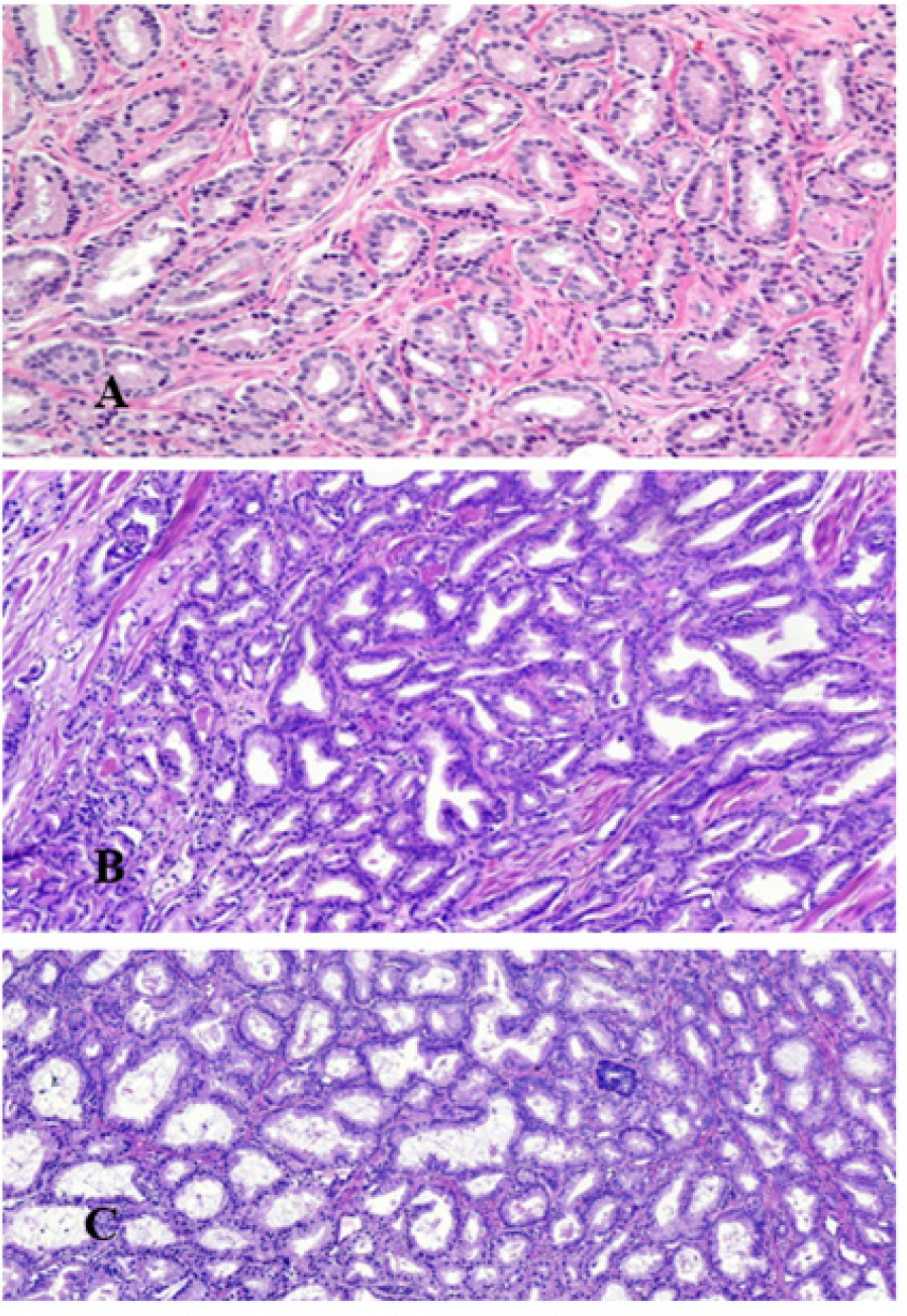
Results: A total of 162 cases of Transurethral resection of the prostate were included in the analysis. The mean age of the selected cases with transurethral resection of prostate was 69.19 (±9.14) years. In initial specimen, out of 162 selected cases, 42 (25.9%) were prostate cancer. The specific diagnoses included benign prostatic hyperplasia (BPH) (72.8%), adenocarcinoma (25.3%), Schistosomiasis (1.2%) and Squamous Cell Carcinoma (SCC) (0.6%). For residual specimen, 31.5% were prostate cancer. The specific diagnoses included BPH (66%), adenocarcinoma (30.9%), Schistosomiasis (1.2%) and SCC (0.6%). In both initial (43.9%) and residual (53.8%) specimens, Grade group 5 was prevalent. Most of the initial specimen showed tumor volume of 81 to 90% and most of the residual tumor volume was greater than 90%. Overall agreement in histological diagnoses between initial specimen and residual prostate chips was 93.2% with a kappa strength (κ) 0.79. For specific diagnosis the agreement was 97.6%, 91.5%, 100% and 100% for adenocarcinoma, BPH, schistosomiasis and SCC Grade 1 with Schistosomiasis respectively. With exception of Grade group 5, the rest of the Grade group had low Kappa value of 0.12. Agreement of tumor volumes was 83.3% with a kappa strength (κ) of 0.79.
Conclusions: This study showed that there are notable histomorphological differences between initial and residual prostate chips with regard to prostate cancer. Further research with a larger group of patients and follow-up is recommended to validate these initial findings and their implications for prostate cancer management.

Article Details

Section
Original Articles