Hemodynamically Stable Traumatic Diaphragmatic Rupture with Herniated Shattered Spleen: A Case Report

Main Article Content

Kassim Bahsan
Daniel Kitua
Sylvery Mwesige
Shedrack Lusasi
Henry Lyimo
Andrew swallow
Ally Mwanga

Abstract

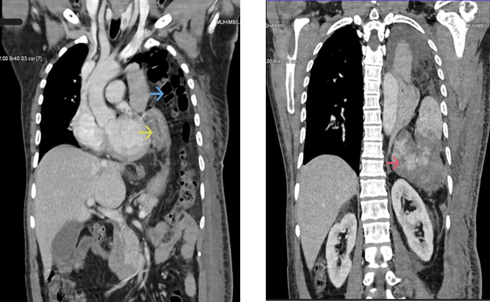
Background: High-energy blunt abdominal trauma frequently involves multiple organ systems, often resulting in injuries to solid organs and, in some cases, visceral herniation due to diaphragmatic rupture. Hemodynamic stability in such cases is rare, particularly when the spleen is shattered. We present a unique case of a hemodynamically stable patient with these injuries.
Case: A 55-year-old male involved in a motor vehicle accident presented to our facility hemodynamically stable, seven days after initial management for a traumatic hemothorax, with a missed diagnosis of diaphragmatic rupture and herniated, shattered spleen. The diagnosis was confirmed following a thorough physical examination and cross-sectional imaging. Laparotomy was conducted to perform a splenectomy and repair a diaphragmatic rupture, and the patient had an uneventful postoperative recovery.
Conclusion: This case highlights the critical need for a high index of suspicion and comprehensive evaluation in cases of high-energy trauma, emphasizing the importance of detailed examination and cross-sectional imaging in detecting overlooked injuries. The patient’s hemodynamic stability, despite a shattered spleen, may have resulted from the compressive effect of the hernia defect on the splenic vessels, a factor that could play a role in similar trauma cases.

Article Details

Section
Case Studies